3초만에

진료비 확인!
전문보기
빠른 상담신청 click!

임플란트 센터

GWANGGYO 365 REUM

임플란트

구강악안면외과 전문의의가
직접진료해 안전성 높은 진료 지향

분야별 전문의 의료진
협진진료 시스템

구강악안면외과 전문의와
치주과 전문의가 직접 수술하고

보철과 전문의와 통합치의학 전문의가
보철을 직접 치료합니다.

정품 오스템 CA인지 확인하세요!

안전성 높고, 빠른 치료가 가능한 신개념 임플란트

빠르고 안전한 성공 시술의 중요 요소이자 임플란트 핵심기술인 표면,
오스템 임플란트는 세계적인 수준의 표면기술을 보유하고 있습니다.

  • 골량이나 치아 건강 상태에 따라 기간 차이가 있을 수 있습니다.

저희가 지르코니아를 고집하는 이유입니다 !

우수한 강도+높은 심미성
다이아몬드라고 불리는 지르코니아

겉과 속이 모두 치아색상과 유사해 티가 나지 않으며,
빛이 투과 돼 자연스럽고 잘 깨지지 않습니다.

세상에 단 하나뿐인
내 잇몸에 맞는 맞춤형 임플란트

환자의 잇몸과 치아에 맞춘 지대주를 사용해 최종 보철물과의 틈을 감소시키며
염증과 부작용을 줄이고 균등한 두께로 보철물을 지지해 파손이나 이물질을 방지하고 있습니다.

  • 3D 구강스캐너 사용

  • 원내 기공소 운영

임플란트 시술 후..
음식물이 끼어서 괴로우신가요?

광교365리움치과병원에서 해결해드리겠습니다!

  • 임플란트를 염증 걱정 없이 튼튼하게
    불편함 없이 쓰시도록
    최선을 다하고 있습니다.

  • 더욱 섬세한 치료를 위해
    디지털 장비에 아낌없이 투자합니다.

광교365리움치과병원에서 알려드리는

임플란트 수술 후 주의사항

  • 2시간 이내 음식물 섭취 삼가해 주세요.
  • 운동 또는 사우나 삼가해 주세요.
  • 수술 당일 침을 뱉지 마세요.
  • 수술 부위에 얼음 주머니를 20분 정도 대었다가 10분 쉬었다가 하는 식으로 하루정도 반복해주시길 바랍니다.
  • 수술 후 5일 정도는 유동식을 드시길 바랍니다.
  • 수술 후 2주 정도는 흡연 및 음주는 삼가해야 합니다.
  • 출혈 부위에 거즈를 물어주세요.
  • 코를 세게 풀지 마세요.
  • 수면 시 베개를 높게 베어주세요.
  • 처방 받은 약은 복용해 주세요.
  • 뼈가 아무는 동안 통증이나 뻐근한 느낌이 있을 수 있습니다.
  • 틀니를 사용하셨던 분들은 의사의 지시에 맞춰 틀니 사용을 자제해 주세요.

광교365리움치과병원에서 알려드리는

임플란트 Q&A

  • Q.
    임플란트 아프지 않나요?
    A.

    어떤 수술이든 약간의 통증과 부종은 동반을 합니다.
    다만 광교365리움치과병원은 체계적인 마취 시스템과 의식하 진정요법을 바탕으로 통증 적은 진료를 위해 최선을 다하고 있습니다.

  • Q.
    임플란트의 수명은 어떻게 되나요?
    A.

    임플란트에 대한 유지관리만 잘 이루어진다면 일반 보철물 보다 수명이 훨씬 깁니다.
    보통은 자연치아와 마찬가지로 구강 관리를 철저히 하고, 정기검진을 잘 받아주신다면 오랫동안 사용하실 수 있습니다.

  • Q.
    임플란트의 치료 기간은 어느정도 인가요?
    A.

    환자분의 구강 상태와 골 이식 여부에 따라서 기간은 달라질 수 있습니다.
    평균적으로는 아랫니의 경우 2~3개월 정도, 윗니의 경우 5~6개월 정도 소요됩니다.

  • Q.
    임플란트를 못할 수도 있나요?
    A.

    환자분의 건강상태와 질환이 있는 경우에 따라 달라질 수 있지만 심장질환이나 혈관계 질환, 당뇨병 등 전신적인 질환이 있으셔도 질환에 대한 관리 및 유지가 잘 이루어진다면 임플란트를 받으실 수 있습니다.

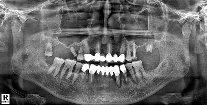
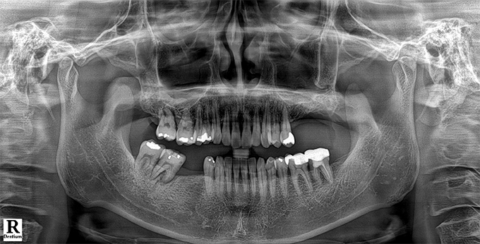
Before & After

임플란트 전후사진

before
2022.11.24

After
2022.12.09

before
2022.10.27

After
2022.11.21

before
2022.10.24

After
2022.11.01

before
2022.11.22

After
2022.12.09

※ 상기 치료전후 사진은 환자의 동의 하에 게재되는 것이며 동일한 촬영각도로 촬영 하였고 치료 기간을 명시하였습니다.
이러한 치료의 결과는 이 환자분에게만 해당되는 것이며 환자의 상태에 따라 똑같은 결과를 얻지 못할 수도 있습니다.
환자분의 상태에 따라 치료 기간, 효과 및 부작용은 상이할 수 있습니다.
치료전후 사진 게재는 의료법 제 23조, 제56조에 의거하여 게재합니다.