3초만에

진료비 확인!
전문보기
빠른 상담신청 click!

심미보철치료 / 충치치료

GWANGGYO 365 REUM

자연치아 살리기

통증 걱정은 잠시 접어두세요!
광교365리움치과병원에선
편안한 신경치료를 만날 수 있습니다.

예쁘고 가지런한 치아 를 원하시나요?

치과에 자주 방문하지 않으셔도 하얗고 가지런한 치아를 만들 수 있습니다.

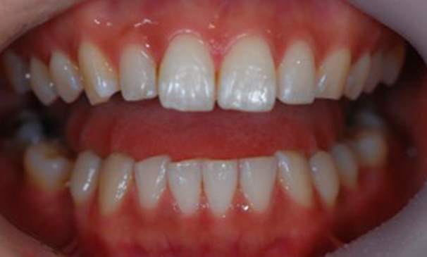
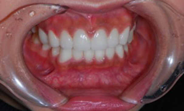
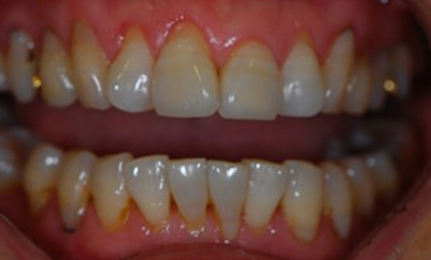
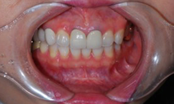
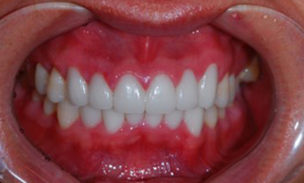
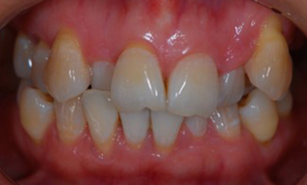
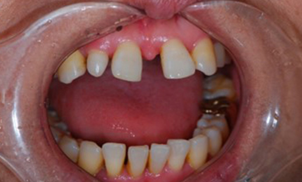
심미보철 케이스 1

치료 기간 : 2022년 9월 5일 ~ 2022년 9월 21일

BEFORE

AFTER

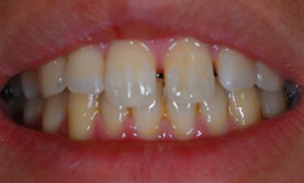
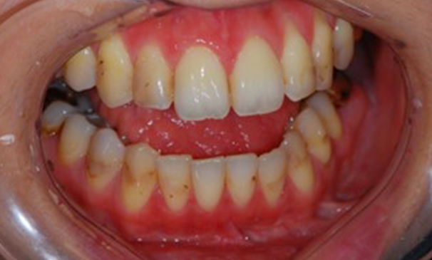
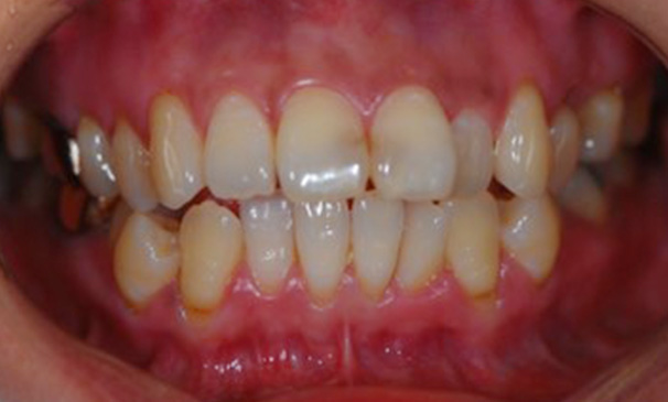
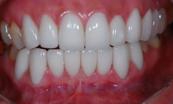
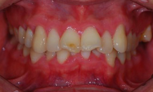
심미보철 케이스 2

치료 기간 : 2022년 10월 3일 ~ 2022년 10월 24일

BEFORE

AFTER

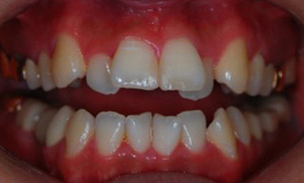
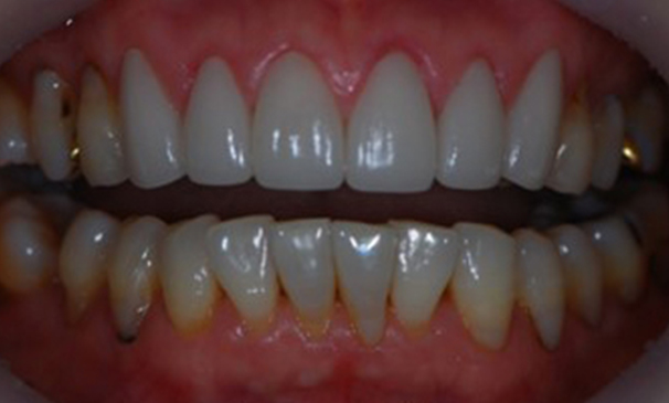
심미보철 케이스 3

치료 기간 : 2022년 10월 13일 ~ 2022년 11월 2일

BEFORE

AFTER

심미보철 케이스 4

치료 기간 : 2022년 12월 9일 ~ 2023년 1월 20일

BEFORE

AFTER

심미보철 케이스 5

치료 기간 : 2022년 8월 20일 ~ 2022년 9월 5일

BEFORE

AFTER

심미보철 케이스 6

치료 기간 : 2022년 9월 10일 ~ 2022년 9월 25일

BEFORE

AFTER

심미보철 케이스 7

치료 기간 : 2023년 1월 7일 ~ 2023년 1월 23일

BEFORE

AFTER

심미보철 케이스 8

치료 기간 : 2023년 2월 6일 ~ 2023년 2월 23일

BEFORE

AFTER

심미보철 케이스 9

치료 기간 : 2023년 3월 4일 ~ 2023년 3월 26일

BEFORE

AFTER

심미보철 케이스 10

치료 기간 : 2022년 11월 10일 ~ 2022년 11월 30일

BEFORE

AFTER

심미보철 케이스 11

치료 기간 : 2023년 4월 5일 ~ 2023년 4월 25일

BEFORE

AFTER

심미보철 케이스 12

치료 기간 : 2023년 2월 15일 ~ 2023년 3월 4일

BEFORE

AFTER

편하게·자고·일어나면·치료·끝

마취과 전문의가 수면 시술하여
편안하게 신경치료 받으실 수 있습니다.

  • 3D CT

  • V-ceph

  • 구강스캐너

  • 덴트원

  • 아이테로

  • 자체기공소